Everything You Need To Know About Kidney Cancer

Kidney cancer is slowly becoming a major concern for most countries across the globe. A report published in the National Cancer Institute revealed that from 1992 to 2019, new kidney cancer cases in the United States alone have been on the rise. And according to estimates made by the American Cancer Society, in 2022, there might be a diagnosis of almost 80,000 new cases and a little more than 13,900 of those cases will end up in death.

Although there's been a downward trend in the number of yearly deaths, there's definitely more we can do to cut down on the new cases (via the National Cancer Institute). You may not know but some regular activities and ways of living may be putting you at greater risk. Things as common as taking some medications and interacting with substances like trichloroethylene at work are potential paths to the condition (per the American Cancer Society).

When you understand the causes, you'll be better placed to take preventive measures that'll protect you from being the next new case. Additionally, if more people become willing to know how to keep it at bay, the overall number of new kidney cancer cases around the world will decrease. This comprehensive guide covers everything you need to know about kidney cancer, which makes it a positive step to dealing with this life-threatening illness that claims thousands of lives each year.

Some possible links

Unfortunately, there's no specific cause that's confirmed to have a direct effect on kidney cancer (via Cancer Treatment Centers of America). This might be worrying as you may ask, "Are we all at risk?" Don't fret. While there are no established causes, some factors can intensify the possibilities of developing kidney cancer. For starters, if you're a male above age 65, and more specifically, a black person, you're more likely to have it than a white man, according to the Journal of Clinical Oncology. Although, the reason why black men tend to be at higher risk is not well known (per the American Cancer Society).

Compared to women, men are at more risk by 50% because they get involved in activities and scenarios that contribute to the development of kidney cancer — they smoke tobacco more than women, and smoking itself is a huge contributor to kidney cancer. Moreover, many men work in industries like plastic and battery production (and other similar arenas) which deal with metals like cadmium and asbestos. Interaction with such metals and substances makes a breeding ground for kidney cancer (via Cancer Treatment Centers of America).

Younger men below the age of 65 are at lower risk because kidney cancer develops over time — 75 years being the peak age. Other risk factors include high blood pressure, obesity, advanced kidney disease, and taking medication like Acetaminophen, according to the American Cancer Society.

Hereditary syndromes could be the cause

The above-mentioned causes fall in the "sporadic kidney cancer causes" category. Another probable cause of kidney cancer that's a different category on its own is the hereditary kidney cancer syndromes. This involves a series of symptoms that often show up together as a result of alteration in hereditary genes. Hereditary syndromes cause hereditary kidney cancer (which is rare) and is different and more dangerous than sporadic ones (via the National Cancer Institute).

There are four popular hereditary syndromes. Hereditary Leiomyomatosis and Renal Cell Cancer (HLRCC) is one of them. It's a syndrome brought about by FH gene mutation, which limits oxygen utilization, hence causing kidney cancer. The second syndrome is Von Hippel-Lindau Disease (VHL) that's linked to VHL gene mutation — the VHL gene is responsible for preventing the rapid growth and division of cells. The mutation minimizes the gene's potency. The syndrome can also cause hearing loss (per MedlinePlus).

The third syndrome is Hereditary Papillary Renal Cancer (HPRC), a type of hereditary syndrome that makes Papillary kidney cancer more likely. The MET gene mutation (MET gene handles cell growth and signaling) makes it hard for the gene to function properly, thus allowing increased (cancer) cell growth. The other syndrome is Birt-Hogg-Dubé (BHD) syndrome. It originates from the FLCN gene mutation (FLCN gene prevents uncontrollable cell growth and spread). The mutation causes the gene to weaken its protective abilities. The European Respiratory Review explains that the syndrome has ties with pneumothorax (a condition where air moves past your lungs).

Certain health conditions increase kidney cancer risk

Apart from the sporadic and genetic causes, certain pre-existing illnesses could also contribute to kidney cancer. High blood pressure, for instance, and renal cell cancer seem to move parallel with each other. The higher the blood pressure, the more the risk of renal cancer cell (via Nature Reviews Urology). Although no established direct effect of hypertension exists, using hypertension and urine-increasing medications appears to move the needle upward. Worse still, those people with hypertension together with obesity are twice as likely to develop renal cell cancer compared to those with only a single problem. The same case applies to those with diabetes mellitus or end-stage renal disease. 

Moreover, if you've undergone a kidney transplant, there are high possibilities of renal cell cancer for the natural (native) kidney compared to the grafted one. The Journal of Clinical Oncology also adds kidney stones and chronic kidney diseases to the list. Although, unlike kidney stones — whose data seem to be inconsistent — chronic kidney disease is two or three times as likely to cause kidney cancer.

Determining if you have kidney cancer

Speaking in an interview with Today, Katie Coleman, software developer, talked about being diagnosed (in 2020) with renal cell carcinoma, "I had sustained high blood pressure and a rapid heart rate. I started to feel a hard mass in my upper right abdomen. It wasn't a lump. The best way that I can describe it is it felt like I had six-pack abs on that side, but I don't have a six-pack in any way, shape or form. I wasn't getting pain from it, I could just feel it."

Cancer Research UK also notes that blood content in your urine, fever, extreme sweating, sudden slimming, a sickly feeling, back pain (on either side of the kidney areas), loss of appetite, and exhaustion are other possible indicators of kidney cancer. Additionally, if you cough and blood comes out of your mouth, or your neck swells in the gland area, there's pain in your bones, or notice swollen veins in your testicles, you should probably get a check-up (per the National Health Service).

The American Cancer Society mentions anemia as an additional kidney cancer symptom, too. The website also states that, although all the mentioned symptoms might indicate the possibility of kidney cancer or other kinds of cancer, chances are, some mild (benign) health conditions may be the cause.

Diagnosis

When it comes to diagnosing kidney cancer, there are essentially three approaches available. The two common tests are imaging tests and urine, as well as blood tests. The third is biopsy, which involves extracting a tissue sample of your kidney and testing it for cancer (via the Mayo Clinic).

According to the American Cancer Society, imaging tests help your doctor determine if you do have cancer and how deeply it's affected your body. Chest x-rays, angiography (a blood vessel-based x-ray), bone scans, and kidney ultrasounds are some of these tests. A CT (computer tomography) scan is also a viable option for painting a clearer picture of how big the tumor is, its shape, and where it's hiding in the body. An MRI (Magnetic Resonance Imaging) scan also makes a better alternative to CT scans.

Urinalysis (urine tests) and blood tests generally provide a basis for speculation about kidney issues. Although, there are special tests like urine cytology that display cancer cells present in urine. Some popular blood tests for kidney cancer are blood chemistry tests that check your kidney health and chemical levels in your blood, and complete blood count tests that check for anemia or polycythemia (a high amount of red blood cells). The only instances a biopsy is necessary is when your doctor wants more clarity from imaging tests, or if they want to determine if you qualify for surgery.

It comes in various forms

There are a number of kidney cancer types that exist (via Medical News Today). The most popular one is Renal Cell Carcinoma (RCC) which is also called renal cell adenocarcinoma or just renal cell cancer. This type occurs when cancer cells develop in your kidney tubes' lining, and they may affect one or both kidneys. The second type is renal medullary cancer which is uncommon but dangerous. In many cases, it targets the right kidney and grows pretty fast — medullary cancer "afflicts young people of African descent" who have sickle cell.

The third is transitional cell cancer, which affects transitional cells that stretch "without breaking" and make part of the ureter and renal pelvis in your kidneys. The ureter is the tube that allows urine from the kidney to your bladder and the renal pelvis is the upper section of the ureter. The cancer may also touch the bladder (per WebMD). The other type of kidney cancer is collecting duct carcinoma. It usually affects your collecting duct (also called renal collecting tubule) located in your kidney. It randomly frequents younger people and its causes are still a mystery (via Genetic and Rare Diseases Information Center). 

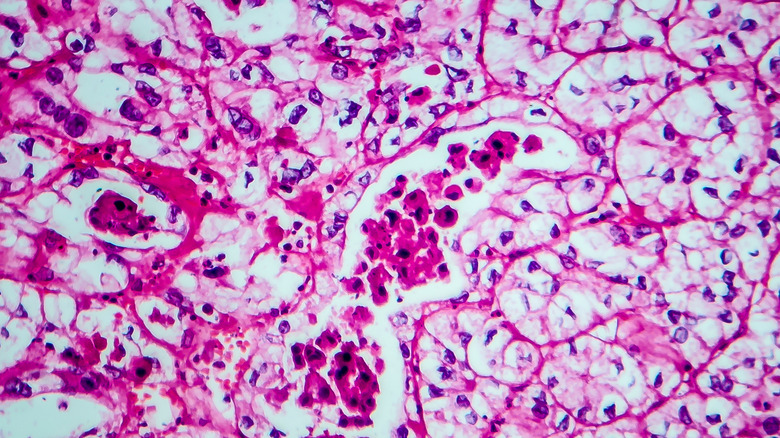
Kidney cancer cells also vary

Zooming in on renal cell carcinoma, we can further classify this type of cancer into several sub-types. With the help of a microscope, when you look at the tumor that occurs in people with renal cell carcinoma, you'll see different variations of the cancerous cells. The various appearances provide the basis for the different sub-types (via UCLA Health).

The first sub-type is the clear cell, where three quarters of the cells have a clear or pale appearance. According to Medical News Today, this sub-type causes cancer more than all the other sub-types. The second is the papillary sub-type where cells have extensions that look like fingers. In the third sub-type — chromophobe — the cells can be clear or have a pinkish color with distinguished cell borders. This sub-type has cells bigger than those in the clear cell sub-type. UCLA Health also lists another sub-type that's yet to get named and classified which features tumors that have no characteristics similar to other sub-types.

Stages of kidney cancer

Normally, after diagnosis is complete and your doctor confirms you have kidney cancer, the next natural step is to stage it. This means determining the stage the cancer is in. There are different staging methods, the TNM (tumor, nodes, and metastasis) system being the commonly used (per the American Cancer Society). It stages kidney cancer based on the tumor's size, lymph nodes, and how far it's spread to other organs. Based on this method, there are four stages of kidney cancer: stage I, stage II, stage III, and stage IV.

In stage I, when the doctor takes cross-sectional measurements of the tumor, it shows to be about 7 centimeters big. It's also within the kidney and hasn't gone beyond. In stage II, the tumor's size is slightly bigger but still within the kidney. It's in stage III that the tumor spreads beyond the kidney. At times, it may have spread to different tissues neighboring your kidney. Penn Medicine explains the tumor's size in this stage can be tiny or huge and may be in blood vessels too.

In stage IV, dynamics are different. The tumor may be visible in other organs, but it may not have affected the lymph nodes (in some cases it may). In other cases, it gets to the Gerota's fascia (the connective tissue that covers your adrenal gland and kidneys) or the adrenal gland — the triangle-like gland on the topmost part of your kidney (via WebMD).

Surgical treatment options

To treat kidney cancer, there are several options you can explore: surgical and non-surgical treatments. Beginning with surgical options, depending on the severity of your case, there are two types of procedures at your disposal. These are partial and radical nephrectomy (per John Hopkins Medicine).

Partial nephrectomy (also called kidney-sparing or nephron-sparing surgery) is the surgical procedure aimed at removing a small section of your kidney that has the cancerous tumor. The idea is to only deal with the affected part and leave the rest of the kidney intact. This procedure applies to those whose condition hasn't spread to the entire kidney or other organs. There are two ways to perform partial nephrectomy, open partial nephrectomy or robotic partial nephrectomy. The open partial method uses medical cutting tools like a scalpel to make surgical cuts in your back or stomach to deal with the tumor. The robotic partial method, on the other hand, uses robotic equipment and a laparoscope (a rod-like medical tool with an attached camera) to access your kidney and fight the tumor while seeing the progress and contents of your kidney using the camera (via the Cleveland Clinic).

Radical nephrectomy is the go-to surgery when the cancer is extremely severe and widespread. Here, the surgery seeks to do away with the whole affected kidney. The good thing is, "Your other kidney can usually make up for the kidney that was removed," so you can live a normal life with only one kidney (per the National Health Service).

Non-surgical treatment options

Since some kidney cancers can be handled without the need for surgery, non-surgical options become useful here. Types of non-surgical treatments include radiation therapy, which uses a powerful dose of radiation to eliminate cancer cells and manage nasty cancer symptoms. This method curbs the spread of the tumor in your body. Immunotherapy is another option that powers up your immune system to deal with cancer cells. If immunotherapy doesn't yield rewarding results for those with renal carcinoma, the doctor may recommend chemotherapy. Here, you receive drugs that neutralize rapidly growing cancer cells. Your hair, unfortunately, also becomes a casualty as hair cells are also quickly-growing cells targeted by the drugs (per the Cancer Treatment Centers of America).

Targeted therapy, just like chemotherapy, is another option that falls in the systematic approach for treating kidney cancer using medication. It works with drugs that limit the growth and development of the cancerous tumor. These drugs include two types of inhibitors: tyrosine kinase inhibitors and mTOR inhibitors. Tyrosine kinase inhibitor drugs such as cabozantinib, sorafenib, sunitinib, axitinib, lenvatinib, and pazopanib work by inhibiting tyrosine kinase enzymes which influence the growth of cancer cells through signaling. When the enzymes get blocked from taking signals, the cancer cells can't grow anymore. 

The mTOR inhibitors, on the flip side, include drugs like everolimus that inhibit an enzyme called mTOR which is responsible for the growth and spread of cancer cells (via Cancer Council).

Natural therapies for kidney cancer treatment

According to Healthline, while getting treated for various types of kidney cancer, especially renal cell carcinoma, some natural therapies can complement the treatment. These care therapies help alleviate various negative effects like fatigue, stress, nausea, and pain that come with cancer. Some of the therapies are aromatherapy, yoga, acupuncture, and herbs. Aromatherapy, as the name suggests, is all about sweet smell. It works with nicely scented oils from plant extracts to ease various negative feelings like nausea and stress which chemotherapy causes. 

On the other hand, Acupuncture enhances the flow of body energy using needles put on different pressure points. It helps with reducing pain, insomnia, nausea, and depression. Herbs like ginger, St. John's wort, ginseng and L-carnitine also deal with the after-effects of cancer (via Healthline).

Yoga is a practice that unites the mind, body, and spirit, and it can help you relax and be at peace using different poses and body movements. Many types of yoga including hot yoga (yoga practiced in hot environments), restorative yoga (rest-based yoga where you hold poses for longer periods), prenatal yoga (yoga for pregnant women), and yoga Nidra (yoga for improving sleep) help with "overall well-being and physical health," according to HealthifyMe. If you choose to pursue this option, consult with your doctor on which type is best for accelerating your recovery. Some great yoga poses that another article on Healthline recommends for cancer patients are the seated meditation pose, legs up the wall, reclined bound angle, and the seated spinal twist.

Coping with kidney cancer and getting support

If you receive news that you have cancer, you get a mixture of emotions: confusion, anxiety, worry, numbness, and even guilt. Although each person digests sad news uniquely, these feelings often creep up on almost everyone. From there, you fear for your life and start asking yourself many questions including how you're going to break the news to your friends and family — and if you're financially able to get the condition treated (via Cancer Research UK).

A good way to have everything in control is by creating a plan, advises My Health Alberta. When your treatment begins, consider having an advance care plan which highlights your needs and desires about your healthcare provider, family, and friends, and regarding support and care. When the treatment gets too severe that voicing your concerns becomes a problem, the care plan will help put things into perspective for them. Additionally, having someone to talk to regularly can help take the weight off your shoulders. Your friends, spouse, and relatives can make a good support group. If you're not comfortable sharing with close people, you can use different forms of art like drawing, or writing as ways to express yourself.

According to Cancer Therapy Advisor, if you have trouble handling the financial part of your treatment, you can get help from different cancer organizations like Cancer Financial Assistance Coalition. For your family's accommodation, organizations such as the National Association of Hospital Hospitality Houses can provide solutions for you too.

Recommended